Δείτε τι κάνει ο κοροναϊός στους πνεύμονες…
Η πανδημία του κοροναϊού συνεχίζει να καλπάζει σε όλο τον πλανήτη, με τους γιατρούς να παρακολουθούν την έξαρση του.
Περισσότεροι από 4.000 άνθρωποι έχουν χάσει τις ζωές τους από τις επιπλοκές του κοροναϊού, ο οποίος προκαλεί σοβαρό πρόβλημα στους πνεύμονες των ασθενών.
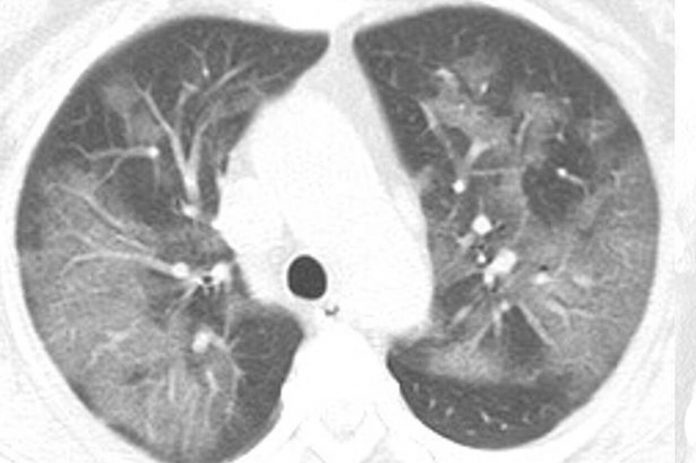
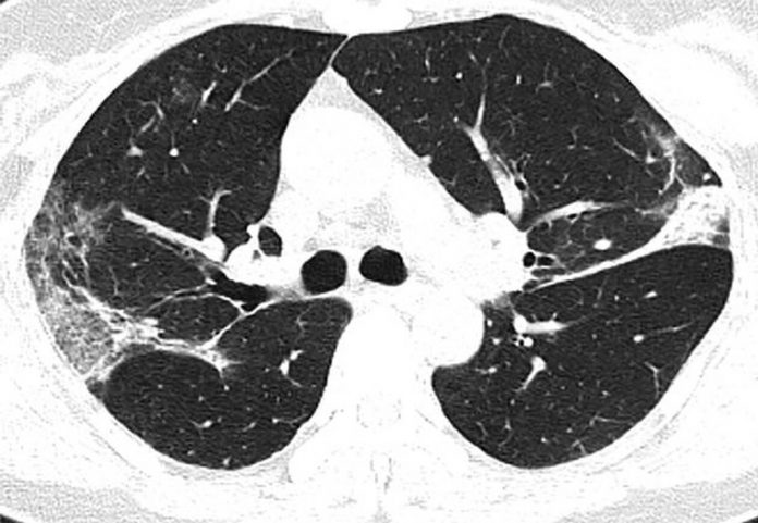
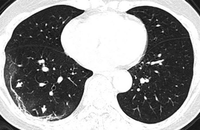
Στην δημοσιότητα δόθηκαν από την Ραδιολογική Κοινότητα της Βορείου Αμερικής, ακτινογραφία πνευμόνων ασθενών, οι οποίοι είχαν προσβληθεί από τον κοροναϊό, οι οποίες προκαλούν ανατριχίλα.
Στις ακτινογραφίες διακρίνονται κάποια άσπρα σημάδια, χαμηλά στους πνεύμονες. Περιγράφονται ως υγρό στις κυψέλες του πνεύμονα.
Να σημειώσουμε πως οι ακτινογραφίες αυτές που δόθηκαν στην δημοσιότητα είναι από ασθενείς από την Κίνα που νόσησαν με επιπλοκές, οπότε δεν έχουν καμία σχέση με το αν νοσήσει κάποιος ο οποίος δεν αντιμετωπίζει προβλήματα υγείας.
Αυτή είναι η ακτινογραφία ενός 54χρονου ασθενή στην Κίνα, ο οποίος νόσησε από τον ιό.

Αυτή είναι η ακτινογραφία μιας 45χρονης, με τα άσπρα σημάδια που διακρίνονται να είναι η ζημιά που έχει κάνει ο covid-19.

Οι πνεύμονες μιας 59χρονης με υψηλό πυρετό.

