Το φαινόμενο αυτό είναι αρκετά διαδεδομένο και περίπου 1 στους 3 Ευρωπαίους το έχουν, αλλά λίγοι ξέρουν τι σημαίνει, όταν το δεύτερο δάχτυλο του ποδιού είναι πιο μακρύ από το μεγάλο.

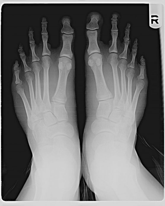
Κάποιοι το ονομάζουν “ελληνικό πόδι.” Είναι σημάδι δύναμης, εξυπνάδας και ελκυστικότητας. Δείτε πώς φαίνεται σε ακτινογραφία:

Οι περισσότεροι πιστεύουν πως η διαφορά είναι μόνο οπτική, αλλά ίσως θα ήταν χρήσιμο να παρατηρούσαμε περισσότερο τα πόδια μας, γιατί αυτό θα μπορούσε να οδηγήσει γρήγορα σε πόνους.

Όταν περπατάτε ή τρέχετε, τα πόδια κουβαλάνε το βάρος μας. Όσοι έχουν το “ελληνικό πόδι” μπορούν εύκολα να αναπτύξουν πόνο στο δεύτερο δάχτυλο, γιατί συχνά λυγίζει. Αυτό μπορεί να προκαλέσει φλεγμονή στην άρθρωση και μερικές φορές είναι πολύ επίπονο. Ο κίνδυνος είναι αυξημένος για δρομείς.

Τι μπορείτε να κάνετε; Είναι πολύ σημαντικό να φοράτε τα κατάλληλα παπούτσια που να έχουν αρκετό χώρο για τα δάχτυλα. Ποτέ δεν πρέπει να φοράμε παπούτσια που προκαλούν πόνο στα δάχτυλα. Εάν φέρεστε καλά στα πόδια σας, θα σας το ανταποδώσουν…

Αλλιώς μπορείτε να χρησιμοποιήσετε κάποια ειδικά μαξιλαράκια για να σας προστατεύουν από τον πόνο και τις φλεγμονές

Εάν νιώθετε έντονους πόνους στα δάχτυλα, καλό θα ήταν να επισκεφθείτε ένα γιατρό. Αν τα φροντίζετε, θα αντέξουν για μια ζωή!
Credit: hefty.co
